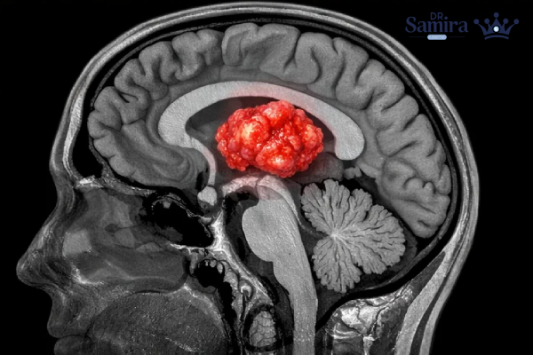
تومور مغزی کارسینوم کوروئید پلکسوس

تومور مغزی کارسینوم کوروئید پلکسوس

کارسینوم کوروئید پلکسوس (Choroid Plexus Carcinoma) یکی از نادرترین و در عین حال تهاجمی‌ترین تومورهای مغزی است که اغلب در کودکان خردسال دیده می‌شود. این بیماری از سلول‌های کوروئید پلکسوس، که مسئول تولید مایع مغزی‌–‌نخاعی هستند، منشأ می‌گیرد. اگرچه شیوع این تومور بسیار پایین است، اما به دلیل رشد سریع، احتمال انتشار و چالش‌های درمانی، اهمیت بالینی بالایی دارد. در اینجا تلاش شده است با نگاهی جامع و ساختاریافته، به معرفی کامل این بیماری، راه‌های درمان، عوارض احتمالی، افراد در معرض خطر و امکان‌های پیشگیری پرداخته شود.

کارسینوم کوروئید پلکسوس چیست؟

کارسینوم کوروئید پلکسوس چیست؟

کارسینوم کوروئید پلکسوس یک تومور بدخیم درجه ۳ (WHO Grade III) از سیستم عصبی مرکزی است که در بطن‌های مغز ایجاد می‌شود. این تومور نسبت به نوع خوش‌خیم‌تر آن یعنی پاپیلوم کوروئید پلکسوس بسیار تهاجمی‌تر بوده و توانایی نفوذ به بافت‌های اطراف و گسترش از طریق مایع مغزی‌–‌نخاعی را دارد.

بیشتر بخوانید: پاپیلوما کوروئید پلکسوس چیست؟

کوروئید پلکسوس چه نقشی در مغز دارد؟

کوروئید پلکسوس شبکه‌ای از بافت‌های تخصص‌یافته در بطن‌های مغز است که وظیفه اصلی آن:

  • تولید مایع مغزی‌–‌نخاعی (CSF)
  • تغذیه و محافظت از مغز و نخاع
  • تنظیم فشار داخل جمجمه

اختلال در سلول‌های این ناحیه می‌تواند منجر به تولید بیش از حد CSF و افزایش فشار داخل جمجمه شود که بسیاری از علائم بیماری از همین مسئله ناشی می‌شود.

چه افرادی در معرض خطر ابتلا به کارسینوم کوروئید پلکسوس هستند؟

احتمال ابتلا به کارسینوم کوروئید پلکسوس در همه افراد یکسان نیست و برخی گروه‌ها به‌دلیل شرایط ژنتیکی یا زمینه‌ای، بیشتر در معرض خطر قرار دارند. مهم‌ترین عامل خطر شناخته‌شده، وجود جهش‌های ارثی به‌ویژه در ژن TP53 است که نقش کلیدی در کنترل چرخه تقسیم سلولی دارد. کودکانی که در خانواده آن‌ها سابقه ابتلا به سرطان‌های زودرس یا سندرم‌های ژنتیکی خاص مانند سندرم لی-فرومنی وجود دارد، احتمال بیشتری برای ابتلا به این تومور دارند. همچنین نوزادان و کودکان خردسال به‌طور کلی در مقایسه با بزرگسالان در معرض خطر بالاتری هستند، زیرا این تومور عمدتا در سال‌های اولیه زندگی بروز می‌کند.

به طور خلاصه افرادی که احتمال ابتلا به کارسینوم کوروئید پلکسوس در آن‌ها بیشتر است شامل:

  • کودکان با سابقه خانوادگی سرطان
  • مبتلایان به سندرم لی-فرومنی
  • افرادی با جهش ژن TP53
  • کودکانی که سابقه سرطان‌های ارثی دارند
  • نوزادان با ناهنجاری‌های ژنتیکی نادر
علل ایجاد کارسینوم کوروئید پلکسوس

علل ایجاد کارسینوم کوروئید پلکسوس

علت دقیق بروز کارسینوم کوروئید پلکسوس هنوز به‌طور کامل مشخص نشده است، اما شواهد علمی نشان می‌دهد که عوامل ژنتیکی نقش محوری در ایجاد این بیماری دارند. مهم‌ترین مکانیسم شناخته‌شده، بروز جهش در ژن‌های تنظیم‌کننده رشد و مرگ سلولی، به‌ویژه ژن TP53، است. این جهش‌ها باعث می‌شوند سلول‌های کوروئید پلکسوس بدون کنترل طبیعی تکثیر شوند و به‌تدریج ویژگی‌های بدخیم پیدا کنند. اختلال در عملکرد سیستم ایمنی در شناسایی و حذف سلول‌های غیرطبیعی نیز می‌تواند در پیشرفت بیماری مؤثر باشد. در مجموع، این تومور بیشتر یک بیماری ژنتیکی–مولکولی محسوب می‌شود تا بیماری ناشی از عوامل محیطی.

بیشتر بخوانید: درمان تومور مغزی با رادیوتراپی

علائم کارسینوم کوروئید پلکسوس

علائم بیماری اغلب به دلیل افزایش فشار داخل جمجمه و انسداد جریان CSF ایجاد می‌شود.

علائم شایع:

  • سردرد شدید و مداوم
  • تهوع و استفراغ جهنده
  • تشنج
  • خواب‌آلودگی غیرطبیعی
  • اختلال بینایی
  • بزرگ شدن غیرطبیعی سر در نوزادان
  • تأخیر تکاملی در کودکان
  • بی‌قراری و گریه‌های مداوم در شیرخواران

روش‌های تشخیص کارسینوم کوروئید پلکسوس

تشخیص این بیماری نیازمند ترکیبی از ارزیابی بالینی، تصویربرداری پیشرفته و بررسی پاتولوژیک است. در مرحله نخست، تصویربرداری مغزی به‌ویژه MRI نقش کلیدی دارد و اصولا توده‌ای داخل بطنی با تقویت شدید پس از تزریق ماده حاجب و همراه با هیدروسفالی را نشان می‌دهد. در برخی موارد، CT اسکن برای بررسی وجود خونریزی یا کلسیفیکاسیون داخل تومور استفاده می‌شود. با این حال، تشخیص قطعی تنها از طریق نمونه‌برداری از تومور و بررسی هیستوپاتولوژیک امکان‌پذیر است. بررسی‌های ایمونوهیستوشیمی و آزمایش‌های ژنتیکی، به‌ویژه ارزیابی وضعیت ژن TP53، به تشخیص دقیق‌تر و تصمیم‌گیری درمانی کمک می‌کنند.

روش‌های درمان کارسینوم کوروئید پلکسوس

روش‌های درمان کارسینوم کوروئید پلکسوس

درمان این بیماری به سه روش انجام می‌شود که در ادامه به چگونگی این درمان ها پرداخته‌ایم:

جراحی برداشتن تومور

رادیوسرجری مهم‌ترین و مؤثرترین روش درمان کارسینوم کوروئید پلکسوس محسوب می‌شود و هدف اصلی آن، برداشت کامل تومور یا همان Gross Total Resection است. مطالعات نشان داده‌اند که میزان برداشت جراحی تأثیر مستقیمی بر پیش‌آگهی و بقای بیمار دارد. با این حال، انجام جراحی در این بیماران بسیار چالش‌برانگیز است، زیرا تومور خون‌رسانی بسیار بالایی دارد و در مجاورت ساختارهای حیاتی مغز قرار گرفته است. خطر خونریزی حین عمل و آسیب به بافت‌های عصبی از مهم‌ترین محدودیت‌های جراحی به شمار می‌روند. در برخی موارد، امکان برداشت کامل تومور وجود ندارد و جراحی به‌صورت نسبی انجام می‌شود تا فشار داخل جمجمه کاهش یابد و شرایط برای درمان‌های تکمیلی فراهم شود.

شیمی‌ درمانی

شیمی‌ درمانی یکی از ارکان اصلی درمان کارسینوم کوروئید پلکسوس، به‌ویژه در کودکان خردسال است و معمولا به عنوان درمان کمکی پس از جراحی یا در برخی موارد قبل از آن استفاده می‌شود. هدف از شیمی‌ درمانی، از بین بردن سلول‌های سرطانی باقی‌مانده و جلوگیری از رشد مجدد یا انتشار تومور است. داروهای مورد استفاده اغلب شامل ترکیبات پلاتینی، اتوپوزاید و سیکلوفسفامید هستند که بر تقسیم سلولی اثر می‌گذارند. در کودکانی که سن کمی دارند و امکان استفاده از پرتودرمانی برای آن‌ها محدود است، شیمی‌درمانی نقش حیاتی‌تری پیدا می‌کند. با وجود اثربخشی، این روش می‌تواند با عوارضی مانند ضعف سیستم ایمنی، تهوع، ریزش مو و اختلالات خونی همراه باشد که نیازمند پایش دقیق پزشکی است.

پرتودرمانی

پرتودرمانی یکی دیگر از روش‌های درمانی مکمل است، که پس از جراحی و شیمی‌ درمانی به‌ کار می‌رود و هدف آن از بین بردن سلول‌های سرطانی باقی‌ مانده در ناحیه تومور یا مسیر انتشار آن است. این روش بیشتر در کودکان بزرگ‌تر و بزرگسالان مورد استفاده قرار می‌گیرد، زیرا مغز کودکان خردسال نسبت به اشعه حساس‌تر است و خطر بروز اختلالات شناختی و رشدی در آن‌ها بالاتر است. پرتودرمانی می‌تواند به‌صورت موضعی یا در موارد انتشار تومور، به‌صورت گسترده‌تر انجام شود. اگرچه این روش در کنترل بیماری مؤثر است، اما عوارض بلندمدتی مانند اختلالات یادگیری، مشکلات حافظه و تغییرات هورمونی از چالش‌های مهم آن محسوب می‌شود و به همین دلیل تصمیم‌گیری برای استفاده از آن باید با دقت انجام گیرد.

عوارض ناشی از ابتلا به کارسینوم کوروئید پلکسوس

عوارض می‌توانند ناشی از خود تومور یا درمان آن باشند:

  • افزایش فشار مغز
  • آسیب عصبی
  • انتشار تومور در نخاع

بیشتر بخوانید: آیا ایمونوتراپی در درمان تومورهای مغزی جایگاهی دارد؟

آیا پیشگیری از کارسینوم کوروئید پلکسوس امکان‌پذیر است؟

در حال حاضر، راهکار قطعی برای پیشگیری از کارسینوم کوروئید پلکسوس وجود ندارد، زیرا این بیماری عمدتاً منشأ ژنتیکی دارد. با این حال، در خانواده‌هایی که سابقه سندرم‌های ارثی یا سرطان‌های زودرس دارند، مشاوره ژنتیک می‌تواند نقش مهمی در شناسایی افراد پرخطر ایفا کند. انجام غربالگری‌های ژنتیکی و پیگیری منظم کودکان در معرض خطر می‌تواند به تشخیص زودهنگام بیماری کمک کرده و شانس موفقیت درمان را افزایش دهد. بنابراین، اگرچه پیشگیری کامل ممکن نیست، اما تشخیص زودرس و مراقبت مستمر اهمیت زیادی دارد.

سؤالات پرتکرار درباره کارسینوم کوروئید پلکسوس:

علائم اولیه کارسینوم کوروئید پلکسوس چیست؟

علائم اولیه شامل سردردهای شدید، تهوع و استفراغ مکرر، خوابالودگی و تشنج است. در نوزادان ممکن است بزرگی غیرطبیعی سر یا بی‌قراری مداوم دیده شود که نیاز به بررسی فوری پزشکی دارد.

این بیماری بیشتر در چه سنی دیده می‌شود؟

کارسینوم کوروئید پلکسوس بیشتر در کودکان زیر پنج سال، خصوصا در نوزادان و شیرخواران تشخیص داده می‌شود. بروز آن در بزرگسالان بسیار نادر است، اما به‌طور کامل غیرممکن نیست.

آیا کارسینوم کوروئید پلکسوس درمان قطعی دارد؟

درمان قطعی همیشه ممکن نیست، اما با جراحی کامل تومور و استفاده از شیمی‌درمانی و در برخی موارد پرتودرمانی، می‌توان بیماری را تا حد زیادی کنترل کرد. نتیجه درمان به سن بیمار و میزان موفقیت جراحی بستگی دارد.

آیا این بیماری ارثی است و از والدین منتقل می‌شود؟

در بیشتر بیماران، این بیماری ارثی نیست و به‌صورت اتفاقی ایجاد می‌شود. با این حال، در برخی موارد نادر با بیماری‌های ژنتیکی خاص همراه است و در این شرایط مشاوره ژنتیک توصیه می‌شود.

آیا بعد از درمان امکان عود بیماری وجود دارد؟

بله، در برخی بیماران احتمال بازگشت تومور وجود دارد، به‌ویژه اگر برداشت کامل تومور در جراحی انجام نشده باشد. به همین دلیل، پیگیری‌های منظم و تصویربرداری دوره‌ای پس از درمان بسیار مهم است.

خلاصه مطالب…

کارسینوم کوروئید پلکسوس بیماری‌ای نادر اما بسیار جدی است که بیشتر کودکان را درگیر می‌کند. شناخت علائم، تشخیص زودهنگام، درمان چندمرحله‌ای و پیگیری دقیق می‌تواند نقش مهمی در افزایش بقا و کیفیت زندگی بیماران داشته باشد. پیشرفت‌های نوین در ژنتیک و درمان‌های هدفمند، امیدهای تازه‌ای برای آینده ایجاد کرده‌اند.

dr khaledi img single post
دکتر سمیرا خالدی

متخصص پرتودرمانی (رادیوتراپی) | فارغ‌التحصیل پزشکی عمومی و تخصص رادیوتراپی از دانشگاه علوم پزشکی شهید بهشتی (۱۳۹۳) | متولد ۱۳۶۰ در استان کرمانشاه | مؤسس مرکز رادیوتراپی و انکولوژی سلامت فردا (۱۳۹۶) | نخستین بانوی کارآفرین فعال در حوزه درمان سرطان در کشور | رئیس دپارتمان شیمی‌درمانی و رادیوتراپی بیمارستان سلامت فردا | دارای پروانه رسمی طبابت | شماره نظام پزشکی: ۱۱۹۹۸۳

مطالب مرتبط
دیدگاهتان را بنویسید

نشانی ایمیل شما منتشر نخواهد شد. بخش‌های موردنیاز علامت‌گذاری شده‌اند *

جستجو