تومورهای ژرمینوما و نانژرمینوما در مغز از انواع پر اهمیت تومورهای نادر سیستم عصبی مرکزی هستند که اغلب در کودکان، نوجوانان و جوانان بروز میکنند. این تومورها از سلولهای زاینده جنینی منشأ میگیرند؛ سلولهایی که در دوران رشد جنین بهطور طبیعی باید به سمت اندامهای تولیدمثلی مهاجرت کنند، اما در برخی افراد در نواحی عمقی مغز باقی میمانند و سالها بعد دچار رشد غیرطبیعی میشوند. اهمیت این تومورها تنها در نادر بودن آنها نیست، بلکه به دلیل قرارگیری در مناطق حساس مغزی و احتمال ایجاد اختلالات عصبی، هورمونی و بینایی اهمیت ویژهای پیدا میکنند. شناخت ویژگیها، تفاوتها، علائم و روشهای درمانی این دو گروه توموری میتواند نقش مهمی در تشخیص زودهنگام و افزایش موفقیت درمان داشته باشد.

تومورهای سلولهای زاینده چیستند؟
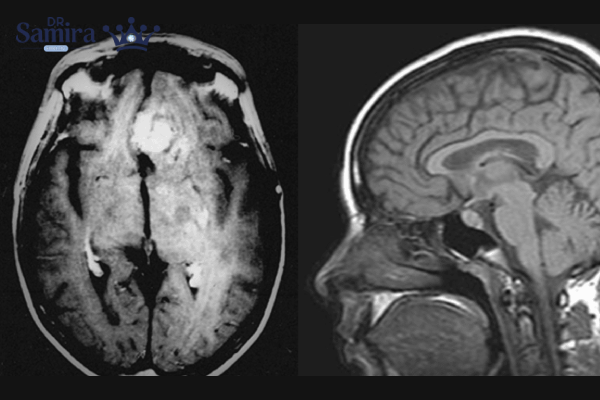
تومورهای سلولهای زاینده زمانی شکل میگیرند که سلولهایی که در دوران جنینی باید به سمت اندامهای جنسی حرکت کنند، در مغز باقی بمانند و بعد از سالها فعالیت غیرطبیعی پیدا کنند. به همین دلیل، این تومورها در نواحی پینه آل (غده صنوبری) و سوپراسلار دیده میشوند. این تومورها حدود ۱ تا ۳ درصد کل تومورهای مغزی را تشکیل میدهند، اما در کودکان و نوجوانان میزان بیشتری دارند.
ژرمینوما و نانژرمینوما چه تفاوتی دارند؟
در ادامه به ماهیت و تفاوت های این دو تومور در مغز اشاره کردیم:
ژرمینوما
ژرمینوما از سلولهایی تشکیل شده که ظاهری یکنواخت و بدون تمایز زیاد دارند، به همین دلیل رفتار خوشخیمتری نسبت به انواع نانژرمینوما دارند. این تومورها بهخوبی به رادیوتراپی و شیمیدرمانی پاسخ میدهند و حتی در موارد پیشرفته نیز احتمال درمان کامل بسیار زیاد است. یکی از دلایل موفقیت درمان، حساسیت بالای سلولهای ژرمینوما به تخریب DNA توسط اشعه است. به دلیل همین ویژگیها، پزشکان معمولاً از دوزهای کمتر پرتودرمانی استفاده میکنند تا عوارض طولانیمدت در کودکان کاهش یابد.
نانژرمینوما
تومورهای نانژرمینوما شامل انواع مختلفی هستند که رشد سریعتر و ساختار پیچیدهتری نسبت به ژرمینوما دارند. این تومورها ممکن است ترکیبی از بافتهای متفاوت باشند؛ برای مثال، برخی بخشها شبیه بافت جنینی و برخی شبیه جفت یا سایر بافتهای نابالغ هستند. همین ناهمگنی باعث میشود نیاز به تشخیص دقیق و درمان چندمرحلهای وجود داشته باشد. از آنجا که NGGCTها کمتر به پرتودرمانی پاسخ میدهند، شیمیدرمانی قوی و گاهی جراحی ضروری میشود.
بیشتر بدانید: پیلوسیستیک گلیوما چیست؟
علت ایجاد این تومورها چیست؟
هر کدام از این نوع تومور ها دلایل ایجاد کننده و حتی عود کننده ای دارند که لازم است آنها را بشناسیم:
باقیماندن سلولهای زاینده جنینی
در دوران رشد جنین، سلولهای زاینده مسیر طولانیای را طی میکنند تا به بیضهها یا تخمدانها برسند. اگر بخشی از این سلولها در مغز باقی بمانند، قادرند سالها بدون فعالیت باقی بمانند و سپس به دلایل ناشناخته دچار رشد غیرطبیعی شوند. این یکی از اصلیترین مکانیسمهای شکلگیری تومورهای سلولهای زاینده در مغز است. به همین دلیل این تومورها بیشتر در خط میانی مغز دیده میشوند.
عوامل ژنتیکی
برخی جهشهای ژنتیکی باعث میشوند سلولهای زاینده سیگنالهای رشد غیرطبیعی دریافت کنند و در نهایت تبدیل به تومور شوند. برای مثال، فعال شدن مسیر KIT یا RAS میتواند باعث تکثیر بدون کنترل سلول شود. سندرومهایی مثل کلاینفلتر نیز محیط ژنتیکی متفاوتی ایجاد میکنند که احتمال ایجاد GCTهای مغزی را افزایش میدهد. این عوامل ژنتیکی به پزشکان کمک میکنند تا انواع خاصی از تومورها را بهتر درک کنند.
عوامل هورمونی دوران بلوغ
با شروع بلوغ، سطح هورمونها در بدن بهشدت افزایش مییابد و همین تغییر هورمونی ممکن است محرکی برای فعال شدن سلولهای باقیمانده جنینی باشد. به همین دلیل، بسیاری از تومورهای GCT در بازه سنی ۱۰ تا ۲۰ سالگی تشخیص داده میشوند. تغییرات هورمونی نه تنها رشد تومور را تحریک میکنند، بلکه میتوانند علائم اولیه بیماری را نیز تشدید کنند. این موضوع نشان میدهد که چرا نوجوانان بیشتر در معرض این بیماری هستند.

علائم تومور ژرمینوما چیست؟
علائم بسته به محل تومور متفاوت است، اما در مجموع شامل موارد زیر میشود:
- سردرد و حالت تهوع صبحگاهی
- مشکل در حرکت چشمها، مخصوصاً در نگاه رو به بالا (سندروم پارینو)
- دوبینی
- مشکلات تعادل
- اختلالات هورمونی از جمله:
- دیابت بیمزه (پرنوشی و پرادراری)
- توقف رشد یا بلوغ زودرس
علائم تومور نانژرمینوما
این نشانه ها به دلیل تهاجمی تر بودن، علائم شدیدتر و پیچیده ترند:
- سردرد شدید
- خونریزی داخل مغز (خصوصا در کوریوکارسینوما)
- اختلال بینایی
- کاهش سطح هوشیاری
- اختلال شدید هورمونی
- کاهش سریع وزن یا ضعف شدید
تغییر شخصیت در اثر تومور مغز
روشهای درمان تومورهای ژرمینوما و نانژرمینوما
در اینجا به توضیح انواع راه های درمانی برای دو نوع تومور ژرمینوما و نانژرمینوما پرداخته ایم:
درمان ژرمینوما با رادیوتراپی
رادیوتراپی با هدف از بین بردن سلولهای توموری از طریق تخریب DNA انجام میشود و ژرمینوماها بهصورت چشمگیری نسبت به این روش حساس هستند. در بسیاری از بیماران، حتی تومورهای بزرگ پس از چند جلسه درمان به سرعت کوچک میشوند. پزشکان معمولاً برای کاهش عوارض، تنها نواحی لازم را تحت پرتو قرار میدهند. این روش یکی از دلایل اصلی موفقیت چشمگیر درمان ژرمینوما به شمار میرود.
درمان ژرمینوما با شیمیدرمانی
شیمیدرمانی اغلب همراه با رادیوتراپی انجام میشود تا نیاز به دوزهای بالا و پرعارضه پرتودرمانی کاهش یابد. داروهایی مثل سیسپلاتین و اتوپوزاید مستقیما روی DNA سلولهای تومور اثر میگذارند و آنها را در مرحله تکثیر نابود میکنند. بسیاری از بیماران پس از چند دوره شیمیدرمانی کاهش قابلتوجهی در اندازه تومور دارند. این ترکیب درمانی امکان درمان با کمترین آسیب به بافتهای سالم را فراهم میکند.
درمان نانژرمینوما: شیمیدرمانی قوی
از آنجا که NGGCTها تهاجمیتر هستند، نیاز به شیمیدرمانی چنددارویی و با دوز بالا دارند. هدف این است که تا حد ممکن سلولهای تومور قبل از جراحی یا پرتودرمانی از بین بروند. این نوع درمان ممکن است چند ماه طول بکشد و نیاز به پیگیری دقیق وضعیت بیمار دارد. با وجود شدت بالای درمان، این مرحله نقش اساسی در کنترل اولیه بیماری دارد.
درمان نانژرمینوما: جراحی تومور
پس از کاهش حجم تومور با شیمیدرمانی، معمولاً جراحی برای برداشتن بافتهای باقیمانده انجام میشود. برخی از انواع NGGCT مانند تراتومِ بالغ در برابر شیمیدرمانی مقاوم هستند و تنها با جراحی قابل برداشتناند. موفقیت جراحی به محل تومور و تجربه تیم جراحی بستگی دارد. برداشتن حداکثری تومور نقش تعیینکنندهای در کاهش احتمال عود دارد.
درمان نانژرمینوما: رادیوتراپی
پس از جراحی و شیمیدرمانی، رادیوتراپی برای از بین بردن سلولهای باقیمانده انجام میشود. دوز پرتودرمانی در NGGCT معمولاً بیشتر از ژرمینوما است، زیرا سلولهای این گروه مقاومت بیشتری دارند. هدف، جلوگیری از رشد مجدد و گسترش بیماری در سیستم عصبی مرکزی است. این مرحله تکمیلکننده کل فرآیند درمان است.
بیشتر بدانید: پینئوبلاستوم چیست؟
عوارض جسمانی تومورهای ژرمینوما و نانژرمینوما
تومورهای سلولهای زاینده مغزی، چه ژرمینوما و چه نانژرمینوما، علاوه بر رشد خود تومور، میتوانند به ساختارهای حیاتی مغز فشار وارد کنند و عملکرد طبیعی آنها را دچار اختلال کنند. از آنجا که این تومورها معمولاً در مراکز حساسی مثل ناحیه پینهآل و سوپراسلار ایجاد میشوند، هر نوع رشد اضافی میتواند با پیامدهای عصبی، هورمونی و بینایی همراه باشد. شدت عوارض بستگی دارد به نوع تومور، سرعت رشد، محل قرارگیری و میزان انتشار آن.
در ادامه، عوارض این دو نوع تومور را بهصورت جداگانه و دقیق توضیح میدهم:
عوارض تومور ژرمینوما
- ایجاد هیدروسفالی (تجمع مایع مغزی–نخاعی)
- اختلالات بینایی و حرکتی چشمها
- اختلالات هورمونی (درگیری هیپوفیز و هیپوتالاموس)
- مشکلات شناختی و رفتاری
عوارض تومور نانژرمینوما
تومورهای نانژرمینوما اصولا بدخیم تر و سریع الرشدتر هستند، بنابراین عوارض گستردهتر و شدیدتری ایجاد میکنند.
- خونریزی داخل مغز
- اختلالات شدید هورمونی
- فشار روی ساقه مغز و ساختارهای حیاتی
- اختلال شدید بینایی
خلاصه مطالب …
تومورهای ژرمینوما و نانژرمینوما در مغز اگرچه نادر هستند، اما به دلیل بروز در کودکان و نوجوانان و قرارگیری در نواحی حساس مغزی اهمیت بالایی دارند. تشخیص زودهنگام، ارزیابی دقیق مارکرهای توموری و انتخاب روش درمان مناسب نقش مهمی در افزایش شانس بهبودی بیماران دارند. آگاهی بیماران و خانوادهها از علائم، عوارض و روند درمان میتواند موجب کاهش اضطراب و بهبود همکاری در طول مسیر درمان شود. در نهایت، پیشرفتهای جدید در روشهای تصویربرداری، شیمیدرمانی و پرتودرمانی امید تازهای برای بهبود کیفیت زندگی و کاهش عوارض در بیماران مبتلا به این تومورها فراهم کرده است.
سوالات متداول:
سردرد و تاری دید میتوانند علل مختلفی داشته باشند، اما در این تومورها معمولاً با علائمی مانند دوبینی، مشکل در حرکت چشمها، تهوع صبحگاهی یا اختلالات هورمونی همراه هستند. در صورت تداوم این علائم، ارزیابی پزشکی و انجام تصویربرداری توصیه میشود.
در اغلب موارد این تومورها ارثی نیستند و ارتباطی با سابقه خانوادگی ندارند. تنها برخی اختلالات ژنتیکی نادر ممکن است خطر بروز آنها را افزایش دهند، اما انتقال خانوادگی شایع نیست.
بسیاری از بیماران، بهویژه مبتلایان به ژرمینوما، پس از تکمیل درمان به زندگی عادی بازمیگردند. برخی بیماران ممکن است نیازمند پیگیری مداوم بهعلت مشکلات هورمونی یا شناختی باشند، اما بسیاری از عوارض با درمان مناسب قابل کنترل هستند.
نوع درمان به نوع تومور بستگی دارد. ژرمینوما با رادیوتراپی یا ترکیب رادیوتراپی و شیمیدرمانی با دوز پایین درمان میشود. نانژرمینوما اغلب به شیمیدرمانی قوی و گاهی جراحی و رادیوتراپی نیاز دارد. پزشک براساس ویژگی تومور بهترین روش را تعیین میکند.
خود تومورها تاثیر مستقیمی بر باروری ندارند، اما برخی درمانها—بهویژه شیمیدرمانی قوی—ممکن است توان باروری را کاهش دهند. مشاوره پیش از درمان برای بررسی راهکارهای حفظ باروری توصیه میشود.
